Tooth Wisdom Blog

What is Dental Plaque and Why it Must Be Treated

Take smart steps to ensure a lifetime of good oral health. You probably heard about dental plaque the very first time you went to the dentist. And you have probably heard about it hundreds of time since. But if you are like many people, you’re confused about exactly what dental plaque is, where it comes from, how it affects your health, and how to get rid of it. In order to clear up some of the confusion, we have put together this fast and simple guide.

Dental Plaque – A Major Obstacle to a Healthy Smile

What is Dental Plaque?

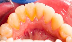
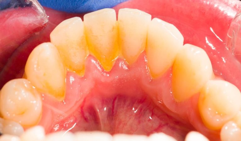
Dental plaque is a soft and often sticky film that slowly builds up on your teeth over time. This film is made up of millions of tiny bacteria that feed on the sugar in the food you eat and produce acid as a byproduct. Eventually, this acid will start to wear away at the enamel on your teeth, which is your number one line of protection against tooth decay and other oral health disorders. Over time, dental plaque will harden into tartar which is much harder to remove and can create problems with your gums.

Where Does Dental Plaque Come From?

Dental plaque begins to form naturally in all people all there is nothing that can be done to stop the process. The formation of the plaque itself is not the problem. Issues begin to occur when the plaque builds up to dangerous levels and stays on the teeth long enough to harden into tartar. That is why regularly taking steps to remove dental plaque is crucial for your oral health.

How Do You Remove Dental Plaque?

The good news is that it’s relatively easy to remove dental plaque, and if you are following normal oral health strategies you are probably doing a good job of removing it already. Use these tips:

  • Brush at least twice a day using a soft-bristled toothbrush and toothpaste that has fluoride in it.
  • Floss at least once a day, ideally right before you go to sleep.
  • Do not rely on mouthwash alone. Plaque needs the abrasion of brushing and flossing to be removed.
  • Limit your consumption of sugary foods and drinks that can lead to tooth enamel decay.
  • Visit the dentist for regular cleanings and checkups.

Find a Location    Learn About Us

Fight Back Against Dental Plaque with the Help of MyOrthodontist

There is a reason you hear so much about dental plaque anytime oral health comes up – everyone gets plaque, and everyone need to remove it. You can do a lot on your own, but when you need the assistance of a professional, rely on the team at MyOrthodontist. Make an appointment at the North Carolina location closest to you.


Are you a new patient?

SEE OTHER DEALS

Share on Social Media

Facebook
Twitter
LinkedIn

Walk into Our Offices or Schedule a Virtual Consult

North Carolina Orthodontists - MyOrthodontist
Orthodontic Financing in North Carolina - MyOrthodontist


Orthodontic Financing in North Carolina - Care Credit - MyOrthodontist

MyOrthodontist Offers Affordable Orthodontic Financing Through Care Credit!

Ver en Español